詰め物と歯の境目が茶色く変色するのはなぜ?二次カリエスの予防法を解説
2026/03/20
こんにちは、成田市の歯医者、メイプル歯科はなのき台クリニックです。
治療から時間がたつと、詰め物と歯の境目が茶色く変色してくることがあります。
この変色は単なる着色汚れの場合もあれば、二次カリエスと呼ばれる虫歯の再発の場合もあり、二次カリエスは歯の寿命を縮めてしまう原因となります。
今回は、詰め物と歯の境目が変色する原因や、二次カリエスの予防方法を解説します。
詰め物と歯の境目が変色する原因
着色
詰め物と歯の境目が茶色く変色する原因の一つは、外部からの着色です。
コーヒーや紅茶、赤ワイン、カレーなどの飲食物の色素が詰め物と歯の境目の微細なすき間に沈着し、茶色く見えるようになります。
特に着色が起こりやすいのは、詰め物の表面がざらついていたり、境目に段差があったりする場合です。
また、喫煙習慣のある方は、タバコのヤニによる着色の可能性もあります。
素材の劣化や変色
次に考えられるのは、詰め物で使われている素材の劣化や変色です。
保険診療で使用される銀色の詰め物は、長期間の使用により金属イオンが溶け出し、周囲の歯や歯ぐきを黒ずませることがあります。
また、同じく保険適用のコンポジットレジンは、経年的に変色する性質があります。
虫歯の再発
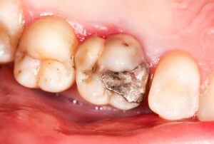
詰め物の下や周囲での虫歯の再発も変色の原因です。
虫歯菌が産生する酸によって歯が溶かされると、その部分が茶や黒に近い色に変色します。
この場合、表面的には小さな変色に見えても、内部では広範囲に虫歯が広がっていることもあるため、早めに歯科医院を受診することが大切です。
二次カリエスとは
二次カリエスとは、一度虫歯治療を行った歯に、再びできた虫歯のことです。
詰め物・かぶせ物と天然歯の境目から発生することが多く、補綴物の下で進行するため、発見が遅れやすいという特徴があります。
また、一度治療した歯は健康な歯よりも弱くなっているため、進行が早いことも二次カリエスの傾向です。
そのため、痛みなどの自覚症状が出るころには、かなり進行しているケースも少なくありません。
詰め物の種類と二次カリエスのリスク
金銀パラジウム合金
保険診療で使用される銀色の詰め物は、強度があり耐久性に優れています。
しかしその一方で、歯との接着に使用するセメントが経年的に劣化したり溶け出したりすることで、すき間が生じるやすいという特徴があります。
また、金属と歯の熱膨張率の違いも、すき間形成の原因となります。
コンポジットレジン
コンポジットレジンは、密着性には優れているものの吸水性があり、時間とともに膨張したり変形したりする性質があるため、やはりすき間が生じる可能性があります。
また、咬合力の強い部位では摩耗しやすく、境目に段差ができることもあります。
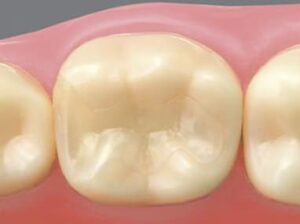
セラミック・ゴールド
セラミックの詰め物は、審美性と耐久性、そして歯との接着性のバランスが良い材料です。
変色や変形が少なく、表面が滑らかであるため、細菌が付着しにくいという利点があります。
ゴールドの詰め物も、適合性が良く長持ちする材料として知られています。
二次カリエスを防ぐためのポイント
詰め物の適合
詰め物の適合が良ければ、歯とのすき間が少なくなるため、細菌の侵入を防ぎやすくなります。
詰め物の適合具合を左右するのは、歯科医師の技術や、使用する材料や機器です。
具体的には、まずは詰め物を作成する際の精密さや型取りの精度が重要です。
そのほか、接着面の清掃や乾燥など、一つひとつの手順を丁寧に行うことで、高い適合性が得られます。
日々のセルフケア
二次カリエスを予防するための基本は、日々のセルフケアです。
歯磨きは、一日に少なくとも二回、朝食後と就寝前には行うようにしましょう。
詰め物と歯の境目は、特に丁寧に磨くことが大切です。
力を入れすぎると歯や詰め物を傷つける可能性があるため、優しく磨くようにしてください。
また、歯と歯の間や詰め物の境目の汚れを除去するために、歯ブラシだけでなくデンタルフロスや歯間ブラシも使用しましょう。
デンタルフロスは、詰め物がある部分を通す際に引っかかりを感じることがあります。
もし引っかかりが強い場合や、フロスの糸が切れてしまう場合には、詰め物の適合に問題がある可能性があるため、歯科医院で確認してもらいましょう。
食生活
虫歯菌は、糖分を餌にして酸を産生するため、糖分の摂取を控えることが虫歯予防の基本です。
また、唾液が酸性から中性に戻るまでには時間がかかるため、頻繁に何かを口にしていると、歯が酸性にさらされる時間が長くなります。
間食は時間を決めて取り、ダラダラと食べ続けることは避けましょう。
定期検診
二次カリエスを早期に発見し、予防するためには、定期的な歯科検診が欠かせません。
自覚症状がなくても、3か月から半年に一度は歯科医院を受診するようにしましょう。
口内のチェックとともに、詰め物の境目や歯間など、磨き残ししやすい部分のクリーニングを受けることで、二次カリエスを予防しやすくなります。
また、定期検診は、口腔衛生指導を受ける良い機会でもあります。
自分では気づかない磨き残しの傾向を知り、よりよいケア方法を学ぶことができます。
詰め物の寿命と交換時期
詰め物を必要なタイミングで交換することも、二次カリエスの予防につながります。
詰め物の寿命は、使用されている材料や、口内環境、咬合力などによって異なります。
予防的に交換することで、結果として歯を長持ちさせることができます。
変色に気づいたらすべきこと
詰め物と歯の境目に茶色い変色を発見した場合、できるだけ早く歯科医院を受診し、変色の原因を特定してもらいましょう。
単なる着色汚れであれば、クリーニングで除去が可能です。
初期の二次カリエスであれば、詰め物を外さずに経過観察することもありますが、多くの場合は詰め物を外して虫歯の範囲を確認し、虫歯部分を除去した後、新しい詰め物を装着します。
虫歯が深く進行していた場合には、神経の治療が必要になることもあります。
早期発見であれば、治療の範囲も小さく済み、歯へのダメージも抑えられるため、変色に気づいたらなるべく早く受診するようにしましょう。
まとめ
詰め物と歯の境目の茶色い変色は、二次カリエスの可能性があります。
二次カリエスは、一度治療した歯に再びできた虫歯です。
詰め物の下で静かに進行するため発見が遅れやすく、放置すると歯の寿命を縮めてしまいます。
変色に気づいたら、自己判断で放置せず、速やかに歯科医院を受診することが大切です。
メイプル歯科はなのき台クリニック :https://maple-dental-clinic.jp/
〒286-0007 千葉県成田市はなのき台1-22-8
電話:0476-27-4618
